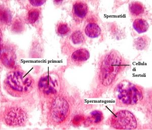
Che cos’è lo spermatogonio?
Lo spermatogonio è una cellula giovane, presente alla membrana basale del tubulo seminifero.

Essi, in seguito a stimoli ormonali, vanno incontro a maturazione.
Spermatogoni A
Durante l’attività sessuale del maschio, e per tutta la vita fertile, gli spermatogoni si moltiplicano per mitosi, in modo da costituire una riserva stabile, spermatogoni A.
Dalla nascita fino alla fase puberale l’individuo presenta al livello della gonade gli spermatogoni A, i quali costituiscono una riserva di cellule seminali con corredo genetico di tipologia diploide non mature ed incapaci di fecondare gli ovociti.
Spermatogoni B
Gli spermatogoni B si dividono per meiosi.
Dopo la generazione dei cromatidi fratelli prendono il nome di spermatocidi di I° ordine, mentre dopo la prima meiosi assumono la denominazione di spermatociti di II° ordine.
Le cellule aploidi
Al termine della seconda divisione meiotica si formano 4 cellule aploidi, gli spermatidi per ogni spermatogonio B di partenza. Alla base del tubulo, si possono distinguere due differenti tipi di spermatogoni, in base alla organizzazione della cromatina:
- gli spermatogoni seminali, che hanno una elevata percentuale di eterocromatina; quelli impegnati nella spermatogenesi sono caratterizzati da una maggiore quantità di eucromatina.
- Il secondo tipo di spermatogoni deriva dalla proliferazione dei primi, secondo un tipo di programmazione che è tipico di ciascuna specie.


