Cos’è l’adenoma
Gli adenomi sono dei tumori benigni che originano in tessuti con proprietà secretorie e che assumono l’aspetto di una ghiandola. Nello specifico, gli adenomi possono trarre origine dalle cellule epiteliali degli organi ghiandolari esocrini come mammella, tiroide, ecc.

Praticamente tutti tra gli adenomi tiroidei si presentano come noduli solitari.
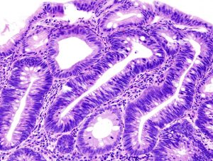
Adenoma – Istologia
E’ difficile anche istologicamente differenziare un adenoma da un nodulo iperplastico nell’ ambito di un gozzo.
Gli adenomi follicolari misurano in media circa 3 cm, anche se alcuni possono essere molto più grandi, fino a 10 cm, oppure più piccoli.
Istologicamente l’ architettura follicolare può essere più o meno sviluppata, ma é sempre omogenea nell’ ambito del nodulo. L’ adenoma trabecolare é costituito da trabecole e cordoni di cellule e solo focalmente si nota la formazione di follicoli.
La maggior parte degli adenomi sono freddi
La maggior parte degli adenomi sono freddi, cioé non captano lo iodio, ma alcuni, associati con ipertiroidismo, appaiono caldi; sono i noduli freddi che inducono sospetto di malignità nei clinici, poiché la maggior parte dei carcinomi non sono funzionanti ed appaiono appunto freddi.
Tutte le lesioni adenomatose sono il risultato di una proliferazione displastica dell’ epitelio e tale displasia può essere lieve o severa, fino a costituire un carcinoma in situ.
Polipi adenomatosi
Inoltre é stato chiaramente dimostrato che la maggior parte, e forse tutti gli adenocarcinomi colorettali invasivi insorgono su polipi adenomatosi preesistenti. Il rischio di malignità dei polipi adenomatosi é correlato a tre caratteristiche indipendenti: dimensione del polipo, architettura istologica e severità della displasia. La displasia severa (carcinoma in situ) può manifestarsi con aree di franca trasformazione maligna confinate alla tonaca mucosa (carcinoma intramucoso).
L’ invasione carcinomatosa del peduncolo sottomucoso del polipo viene a costituire l’ adenocarcinoma invasivo precoce.
Impatto clinico nella trasformazione maligna dell’adenoma
L’ impatto clinico della trasformazione maligna dipende dai seguenti fattori: displasia severa (carcinoma in situ), carcinoma intramucoso e adenocarcinoma invasivo. La rimozione endoscopica di un adenoma peduncolato che lo contiene é considerata una resezione adeguata a patto che siano presenti le seguenti condizioni istologiche: adenocarcinoma superficiale, non presente invasione vascolare o linfatica, carcinoma non scarsamente differenziato.
Adenocarcinoma
L’ adenocarcinoma invasivo che insorge su un polipo sessile non può essere escisso in modo adeguato mediante polipectomia. L’ unico trattamento adeguato per un adenoma peduncolato o sessile é la resezione completa. Il carcinoma invasivo può giˆ essere presente nel tessuto adenomatoso residuo. La sua presenza non può essere esclusa dall’ esame istologico del tessuto asportato.

