L’empiema è una raccolta di pus in una cavità preformata (pleura, peritoneo, colecisti ecc). La patogenesi dell’empiema pleurico La patogenesi dell’empiema pleurico riconosce tre differenti situazioni: – contaminazione da una sede contigua allo spazio pleurico (50-60%): polmone, mediastino (esofago e linfonodi), collo, parete toracica, colonna vertebrale, cavità peritoneale; – inoculazione diretta nello spazio pleurico […]
Archivio Tag: post
Suddivisione del mediastino Il mediastino viene suddiviso in: mediastino anteriore: tra lo sterno e la superficie anteriore dei grossi vasi e del pericardio; mediastino medio: dalla superficie anteriore dei grossi vasi e del pericardio al corpo vertebrale; mediastino posteriore: spazio para-vertebrale. Si tratta della classica divisione e a seconda che le formazioni si trovino all’interno […]
Una delle indicazioni fornite dalle linee guida è quella di passare da esami non invasivi ad esami ad invasività crescente
Il Tumore al polmone è l’argomento principe della chirurgia toracica che nel 70% è in realtà chirurgia oncologica. Il restante 30% è chirurgia benigna, si pensi allo pneumotorace, chirurgia della trachea, masse mediastiniche benigne. Il carcinoma broncogeno è la prima causa di morte nel sesso maschile nella fascia d’età tra 50-60 anni. Nelle donne invece, per […]
Che cos’è il mesotelioma? Il mesotelioma è il tumore della pleura. Asbeto e quindi eternit le cause maggiori di mesotelioma Un tempo era abbastanza infrequente. Successivamente, con il massivo utilizzo dell’asbesto è diventato molto importante dal punto di vista epidemiologico. L’asbesto è stato utilizzato per la coibentazione di edifici, tetti, carri ferroviari, poiché è un materiale […]
Lo pneumotorace catameniale è un particolare tipo di pneumotorace spontaneo, nello specifico secondario che si manifesta delle volte, ma non sempre, nelle donne in età fertile, entro 72 ore dall’inizio della mestruazione. Il termine “catameniale” deriva dal greco “katamenios”, che significa “con ricorrenza mensile”. Pneumotorace catameniale e non catameniale Nello pneumotorace spontaneo si possono distinguere […]
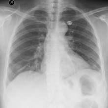
Si definisce pneumotorace la presenza di aria nello spazio pleurico con collasso parziale o totale dei polmoni. Classificazione dello pneumotorace pneumotorace spontaneo: compare spontaneamente, senza un rapporto di causa effetto, e può essere primitivo o secondario ad altre patologie. pneumotorace post-traumatico: può essere chiuso o entrante. Nello pneumotorace entrante, come abbiamo visto, c’è una […]
Si parla di oliguria quando la quantita’ di urine nelle 24h e’ minore di 250 ml/die e parliamo di anuria quando e’ minore di 100 ml/die. L’oligo-anuria, in base al meccanismo fisiopatologico, viene distinta in pre-renale, renale e post-renale. Sinteticamente, nel primo caso è determinata da una riduzione del flusso renale secondario a varie cause, nel […]
Relazioni tra sistema nervoso parasimpatico e ortosimpatico Il sistema nervoso parasimpatico è concettualmente analogo all’ortosimpatico: possiede fibre pre e post-gangliari e nei gangli origina i collaterali. Esso è situato in quelle zone del midollo spinale non occupate dall’ortosimpatico, ossia nelle zone sacrale e craniale (midollo allungato). Il midollo sacrale presenta la sostanza grigia con la […]
Criteri diagnostici per il Disturbo Post-traumatico da Stress A. La persona è stata esposta ad un evento traumatico nel quale erano presenti entrambe le caratteristiche seguenti: 1) la persona ha vissuto, ha assistito, o si è confrontata con un evento o con eventi che hanno implicato morte, o minaccia di morte, o gravi lesioni, o […]
- 1
- 2







