Cosa sono i bacilli I bacilli aerobi-anaerobi facoltativi, asporigeni, sono batteri saprofiti che vivono negli strati superficiali del suolo o sono patogeni di alcuni insetti. Quelli interessanti per la medicina sono: Bacillus anthracis È un bacillo di notevoli dimensioni (lungo 3 micron) che si dispone in lunghe catene,è Gram +, sporigeno, capsulati, aerobio-anaerobio facoltativo, anche […]
Archivio Tag: a
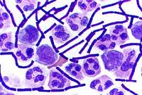
Cosa sono gli Streptococcus o streptococchi Gli streptococchi sono batteri sferici di diametro 1-1,5 micron disposti in coppie o a catenelle; sono capsulati, immobili, asporigeni, Gram + e ossidasi – negativi. A differenza degli altri cocchi Gram + sono catalasi negativi. Le varie specie hanno diverse esigenze nutrizionali, ma in tutte le colture è necessaria […]
Nome Alanina Abbreviazione Ala sigla A name Alanine Abbreviation Ala code A
sigla: HbA inglese: Hemoglobin A o adult hemoglobin italiano: emoglobina A o emoglobina dell’adulto, rappresenta la più comune emoglobina umana.
Vitamina significa ammina della vita. Questa classe di sostanze, indispensabili alla vita, rientra nella categoria dei micronutrienti. Sono infatti necessarie piccolissime quantità di vitamine, per soddisfare le richieste biologiche dell’organismo. Tuttavia, sebbene alcune di esse siano prodotte autonomamente dal nostro corpo, la maggior parte delle vitamine deve essere introdotta attraverso l’alimentazione.
La parete dei gram-negativi presenta tre componenti posti all’esterno dello strato di peptidoglicano: 1) Lipoproteina. 2) Membrana esterna. 3) Lipopolisaccaride (LPS). 1) lipoproteina:Molecole costituite da non usuali lipoproteine legate al peptidoglicano e alla membrana esterna. Sono composte da 57 aminoacidi con ripetizioni di 15 aminoacidi in sequenza, un peptide è legato ad un residuo di […]
L’epatite è caratterizzata da un’infezione da virus di diverso tipo che crea infiammazione a livello epatico. l’epatite può essere scatenata da cause virali, non virali, da farmaci, da alcool. i più comuni tipi di infezione virale di epatite sono denominati con le lettere alfabetiche a seconda del virus interessato e sono: L’epatite A (HAV): è […]
Per effettuare separazioni di miscele con questa metodica si sfruttano i principi di: cromatografia di adsorbimento, cromatografia di ripartizione, gel filtrazione, scambio ionico. Cromatografia: fase stazionaria La fase stazionaria é supportata su lastre di vetro, fogli di alluminio o di plastica resistente ai solventi usati per l’eluizione. Fra i materiali più usati comunemente come fase […]








